The 127th Clinico-Pathological Conference of the Odawara Municipal Hospital on September 11 2000


SN-845 OOOO, XXX 65-year-old male
Date of Autopsy; 1998.10.01. (20 hours post mortem)

-----------------------------------------

Clinical Diagnoses by the Department of Internal Medicine
1. Juvenile Parkinsonism
2. Chronic subdural hematoma, post-operative state
3. Bilateral cerebral infarct

-----------------------------------------

Patho-Anatomical Diagnoses by Dr. Hasegawa of the Department of Pathology:
1. Cerebral infarct [in association with chronic subdural hematoma]
2. [Juvenile Parkinsonism], with a few Lewy bodies and a decrease of pigmented neuronal cells of substantia nigra and locus coeruleus

-----------------------------------------

A. Cerebral infarct of the posterior cerebral artery territory [associated with chronic subdural hematoma] and Parkinsonism:

1. Reflection of the scalp reveals no residual hematoma and no fracture of the skull. On the internal surface of the dura, there are fibrinous deposits, which are composed of gelatinous soft substance, in the left frontal parasagital area and the left occipital fossa, and scattered petechiae and diffuse brown discoloration in other areas.

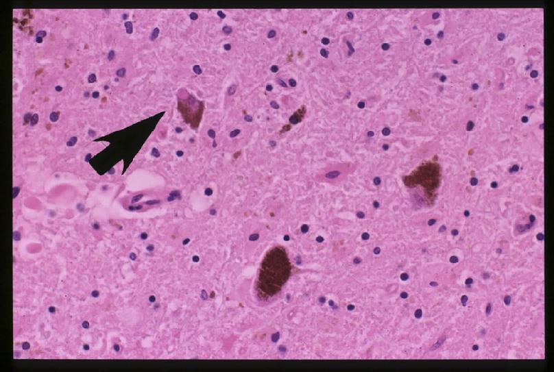
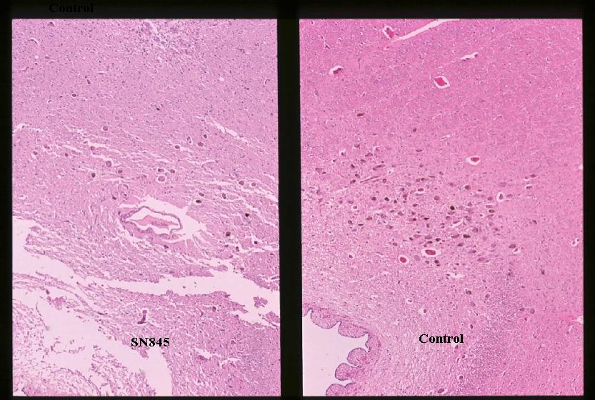
2. Brain, which weighs 1,265 gram inclusively, externally shows marked softening of both the inferior aspect of the cerebral hemispheres, particularly extensive anemic necrosis (infarct) of the inferomedial aspect of the bilateral temporal and occipital lobes. Sections in the coronal plane reveal extensive infarct involving the inferomedial surface of the occipital lobes including optic radiation, bilateral Ammon's horn, hypothalamus, and the left globus pallidus and internal capsule( [jpg.43KB]). Meynert nuclei are also involved. Only minimal arteriosclerosis is noted in the basilar and vertebral arteries. Substantia nigra macroscopically remains pigmented but in decreased intensity ( [jpg.56KB]). Microscopic examination reveals anemic necrosis with mobilization of foam macrophages, lymphocytic infiltrates, capillary proliferation and reactive astrocytosis at the margins of the infarct, which also is involving the substantia nigra and the mid pons slightly. A few Lewy bodies are identified in the pigmented nuclei of the substantia nigra ( [jpg.66KB]) and the nucleus tractus solitarii but none in the locus coeruleus, nucleus dorsalis n. vagi, neither in the cerebral cortex. The number of pigmented neuronal cells is decreased in substantia nigra ( [jpg.80KB]) and locus coeruleus ( [jpg.98KB]) compared with an age- and sex-matched control (SN 847, 70-year-old male), accompanied with scattered pigment-laden macrophages. Lipofuscin deposition in the cytoplasm of the neuronal cells is remarkable in the cerebral cortex. Neuronal cells of the reticular formation including those in the nuclei ambiguus of the medulla oblongata are intact. Pallor of the bilateral pyramids is noticed in the pons and medulla oblongata, moderate, the left side being more prominent, and in the upper cervical spinal cord, mild.

3. The deceased is in the state after bar-hole operation for subdural hematoma that was performed at the neurosurgery clinic of this hospital in April 1998.

4. Microscopic infarct of the anterior pituitary gland (500 mg).

B. Other findings:

1. Focal pneumonia with consolidation of the right S-6 and moderate anthracosis of the lungs (540; 600 g), with the bilateral pleurae adherent to the chest wall and yellow clear effusion (300; 1,200 ml). Microscopic examination reveals formation of fibrous granulation tissue at the adhered right pleura that is composed of proliferation of fibroblasts and lymphocytic and granulocytic infiltrates. Focal organizing pneumonia is noted in the right S-6 and left S-9. Subpleural emphysema of mild degree is diffusely observed, in addition to subpleural scarring of both the apices.

2. Splenomegaly is noted with fairly firm consistency (270 g), without incisura. Microscopic examination reveals mild hemosiderin deposition.

3. The liver is mildly congestive, which weighs 1,550 gram. Microscopic examination reveals moderate fibrous enlargement of portal areas with dilated portal veins and lymphocytic infiltrates. Hepatocytes show deposition of lipofuscin pigments, otherwise are unremarkable

4. Mild congestion is noted in the kidneys (190; 170 g), with capsules stripped with ease with smooth surface. Microscopic examination reveals mild lymphocytic infiltrate in the interstitium, well-preserved glomeruli and mild arteriosclerosis of renal arteries.

5. Acute pancreatitis is noted microscopically, which consists of granulocytic infiltrate into the lumen of the pancreatic ducts, associated with interstitial fibrosis with granulocytic and lymphocytic infiltrates and atrophy of the acini.

6. Atrophy of endocrine organs; thyroid (9.5 g) and adrenals (6.5; 3.2 g), with lipoid depletion of the cortexes. No Lewy bodies are seen in the adrenal medulla.

7. Mixed bone marrow of the lumbar vertebrae, femur and sternum.

8. Healthy heart without scarring of the myocardium (360 g). Coronary arteries with remarkably scanty atheromas for a man of that age.

9. Elastic aorta with remarkably scanty atheromatous changes for a man of that age.

10. Testes show atrophy with tubular hyalinization with Sertoli cells only.

11. No Lewy bodies are seen in the Auerbach plexus of the sigmoid.

12. The deceased is an emaciated elderly man who weighs 38 kg and measures 160 cm in height with a scar of the left clavicular area that is consistent with a treated old fracture.

Direct cause of death; cerebral infarct
Manner of death; natural

Clinical Summary; A 65-year-old male was admitted to the Neurosurgical Clinic of the OMH on April 7 1998 for consciousness disturbance, involuntary movement and bilateral pathological reflex.
His past history was positive for juvenile Parkinsonism with an onset of age 30, for which he was administered with Dopastone and Artane at Chigasaki Municipal Hospital since 1972. He was referred to this hospital in 1991 and admitted to the gastroenterology department in July and August because of paralytic ileus. He was experiencing collapse (fall forward) several times a month.
Brain CT-scan disclosed bilateral subdural hematoma, and emergency operation was carried out on April 8, however, consciousness did not recover postoperatively. CT-scan revealed cerebral infarct of bilateral occipital lobes and thalami. Comatose patient was transferred to the department of internal medicine on April 30, when MRSA infection was already present. Herpes simplex infection worsened the situation in August. He passed away on September 30 1998.

Comments; This elderly man died of extensive cerebral infarct of the posterior cerebral artery territory. Pigmented nuclei of the substantia nigra and locus coeruleus are remaining grossly, but the microscopic sections showed that pigmented neuronal cells have histologically decreased in number, or are deficient in number ab initio when compared with an age- and sex-matched control. A few Lewy bodies are observed only in the substantia nigra, but none in the cerebral cortex and other nuclei. There are several clinical subtypes of juvenile Parkinsonism, and among them an autosomal recessive familial type (AR-JP) is reported to be caused by parkin gene in which the age of onset is usually 20's, symptoms show remarkable diurnal fluctuation, and no Lewy bodies are pathologically identified. I think the current case is not consistent with AR-JP. Front margins of the infarct are very focally involving the substantia nigra and the mid pons, whereas nuclei of the medulla oblongata are basically intact. Acute pancreatitis associated with chronic inflammatory changes is fairly remarkable.

References (In Japanese);

1. 小田雁E.間脳・基底核変性疾患E現代痁E学体系23B神経疾患II,中山書庁E東京, 1993, 213-248.
2. 横地正之.若年性パEキンソン痁EEE床的特徴EE神経進歩, 1979:23;1048-1059.
3. 服部信孝、志村秀樹ら.若年性パEキンソニズムE神経進歩, 2000:44;555-566.


Akio Hasegawa,MD,PhD

Certified Pathologist by the Japanese Society of Pathology
September 11 2000



Back to previous Home Page at AOL (Till October 31 2008)

Back to previous Home Page at geocities.jp web host (Till March 31 2019)

Back to New Home Page (Translocated Sakura server)

-----------
Copyright 2000 by Akio Hasegawa
2000/9/11

-----------
Please send your comments to DrHASEGAWA@aol.com