The 113th Clinicopathological Conference of the Odawara Municipal Hospital, held on January 11 1999

 

SN-844 OOOO, XXXX 53 year-old-male

Date of Autopsy; 1998.9.30. (12 hours post mortem)

-----------------------------

Clinical Diagnoses by the Department of Cardiology:

1. Primary amyloidosis

2. Heart failure

Patho-Anatomical Diagnoses by Dr. Hasegawa of the Department of Pathology:

1. Systemic amyloidosis, involving heart, lungs, tongue, gastrointestinal tract, retroperitoneal fat tissue, spleen and liver (OMH 98-1590, -1681, -1706)

2. [Heart failure]

-----------------------------

A. Systemic amyloidosis:

1. Status post cardiac, intestinal and gastric biopsies performed in June and July 1998.

OMH 981590; Insufficient material, cardiac biopsy,

OMH 981681; Amyloidosis, large intestine

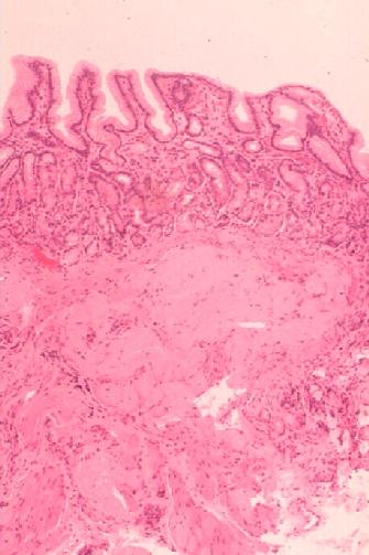
OMH 981706; Amyloidosis, stomach (HE stain [jpg.29KB]), (Congo red stain [jpg.37KB])

Amyloid deposition is confirmed by Congo-red stain with positive birefringence regarding the colonic and gastric specimens.

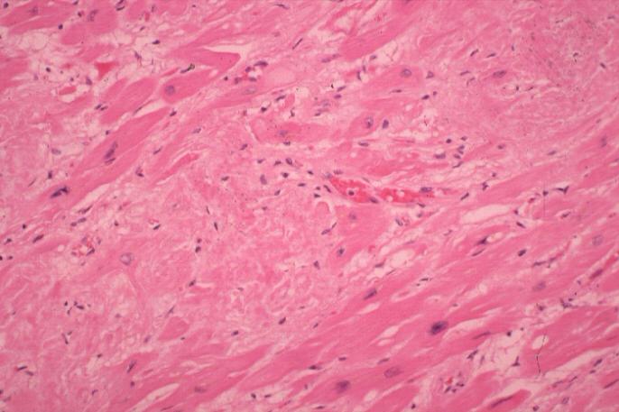
2. The heart is enlarged and abnormally stiff, which weighs 700 gram and, on cross sections, reveals marked dilatation of both the atriums and hypertrophy of both the ventricles, but no scarring of the myocardium is noted ([jpg.21KB]). The lumen of the left ventricle is moderately dilated. Fresh coagulation mass, partly thrombotic, is adherent to the wall of the right auricle. The circumferences of all the four valves are remarkably increased, resulting in insufficiency state. Arteriosclerotic changes of the coronary arteries are minimal to the naked eye, without narrowing. Microscopic examination reveals patchy and diffuse deposition of amorphous eosinophilic extracellular substance (HE stain [jpg.45KB]) that is stained pink or orange by Congo red stain and shows rather moderate birefringence by polarizing microscopy ([jpg.13KB]). Myocardial fibers show atrophy and degeneration.

3. Other organs that are involved by amyloid deposition are as follows;

a. The tongue is enlarged, measuring 11 x 6 x 3 cm in dimension. Microscopic examination reveals prominent deposition of amyloid substance in the subepithelial and striated muscle tissue.

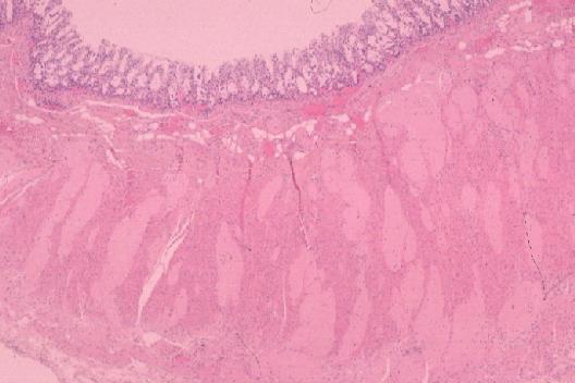
b. The esophagus, stomach and intestines are otherwise unremarkable to the naked eye than mild mucosal petechia of the stomach with bloody content that measures about 100 ml in volume. Microscopic examination reveals diffuse and patchy deposition of amyloid substance mainly in the smooth muscle layer but also in the muscularis mucosae and submucosa of those organs (Sigmoid, HE stain [jpg.26KB]).

c. The pleural cavities are not adherent and contain yellow clear effusion (200; 2,000 ml). The lungs are externally healthy, which weigh 770 gram, left, and 550 gram, right, respectively, and, on longitudinal sections after fixation, reveal passive congestion. Microscopic examination reveals diffuse amyloid deposition in the walls of the blood vessels of various diameters in the interstitium and in the thickened alveolar septa.

d. Amyloid is deposited in the retroperitoneal adipose tissue rather remarkably, e.g., periadrenal and peripancreatic, that is shown microscopically.

e. The spleen is mildly swelled that weighs 170 gram. Amyloid substance is deposited along the trabeculae.

f. The liver, which weighs 1,710 gram, is swelled and passively congested. Microscopic examination reveals, in addition to confluent central congestion, occasional deposition of amyloid along the bile tracts.

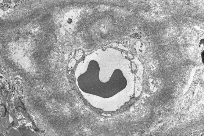
4. Electron microscopic investigation of the myocardium reveals the deposition of electron-dense substance, which is composed of randomly oriented, non-branching, less-than-10 nm diameter fibrils, in the perivascular spaces ([jpg.74KB]) and around the isolated myocytes. The analysis of the renal cortex, too, reveals focal deposition of the fibrils of the similar characteristics in the mesangial matrix that is not necessarily expanding. The glomerular basement membrane is not thickened, i.e., 250 nm, and free of electron-dense deposits. The slit membrane between the foot processes of the podocytes is confirmed to be intact, the foot process fusion not being observed.

B. Other findings:

1. The kidneys show passive congestion, otherwise healthy to the naked eye, which weighs 260 gram, left, and 250 gram, right, the capsule stripping with ease. Microscopic examination reveals fairly unremarkable glomeruli and tubular systems except amyloid deposition in the peri-renal adipose tissue.

2. The scalp, skull and durae are unremarkable. Cerebrospinal fluid is not bloody. The brain weighs 1,450 gram inclusively with cerebellum and brain stem, and, on sections after fixation, is basically healthy to the naked eye. Microscopic sections reveal fairly normal neuronal cells in the cerebral cortex including Ammon's horns. Pigmented nuclei of substantia nigra and locus coeruleus remain normal. Arteriosclerosis at the cut ends of the internal carotid arteries and other locations is minimal. No amyloid deposition is identified in the brain.

3. The peritoneal cavity contains 2,500 ml of yellow clear ascites.

4. The bone marrows of the lumbar vertebra, sternum and femur are of normal hematopoietic cellularity that is being mixed with fat cells.

5. A myomatous polypoid elevation at the neck of the urinary bladder, measuring 1.0 cm in diameter, with scattered mucosal petechia.

6. The testes are unremarkable to the naked eye, microscopically spermatogenesis remaining.

7. The pituitary gland is macroscopically and microscopically unremarkable, weighing 700 mg. The thyroid is enlarged that weighs 37.5 gram. The adrenals are atrophied with lipoid depletion of the cortexes, weighing 11 gram each. Amyloid deposition is minimal to null.

8. The skin is healthy to the naked eye and amyloid deposition is microscopically shown minimal.

9. The deceased is a middle-aged male of average built that weighs 62.5 kilograms and measures 165 cm in height.

Direct Cause of Death: heart failure

Manner of Death: natural

CLINICAL SUMMARY: A middle-aged male was admitted to our hospital with a diagnosis of heart failure that was based on the chest X-ray films. His past medical history was unremarkable. He had noticed palpitation since 1996 at the age of 51, and exertional dyspnea since April 1998. He presented himself to this hospital on June 2 because of regular health check disclosing tachycardia and liver damage with proteinuria on urinalysis, and was immediately admitted. He was administered with diuretics successfully, but the findings of electrocardiography and cardiac echography were suspicious of cardiac amyloidosis. Myocardial biopsy by catheterization was negative due to inadequate specimen, but rectal and gastric biopsies rendered a histopathological diagnosis of amyloidosis (OMH 98-1681, -1706). After he was discharged on July 25, pleural effusion was increased to have him readmitted on August 25. Pleural effusion and ascites were increased, while renal function was deteriorating. He died on September 30 1998.

COMMENTS: This is a case of systemic amyloidosis of a middle-aged male who, to our knowkedge, had no positive familial history of that disease. The distribution of amyloid substance of this case, which involves mainly heart, lungs, gastrointestinal tract, tongue, etc., is sort of more consistent with immunocyte-associated amyloidosis ("primary amyloidosis") than with secondary or chronic inflammation disorders-associated amyloidosis that usually tends to involve kidneys, liver, spleen and lymph nodes, however, there is no evidence of multiple myeloma or B-cell neoplasms at autopsy, neither M protein spike nor light chain spike (Bence Jones protein) being detected on the serum and urine electrophoresis during the course. In this context, the provisional diagnosis of systemic amyloidosis of undetermined nature or origin is made to this case.

Akio Hasegawa, MD, PhD

Certified Pathologist by the Japanese Society of Pathology (#832)

--------------------------------------------------------------

# 1: WHAT IS AMYLOID?

· Amyloid is protein configured in a beta pleated sheet.

· The amyloid formed from immunoglobulins is just 1 example of amyloid.

· Medullary carcinoma of thyroid is often associated with stromal amyloid. In this case, amyloid is composed of calcitonin (a hormone produced by thyroid C cells, the cells of origin of medullary carcinoma of thyroid).

· Amyloid is an extracellular (stromal) molecule.

 

# 2: TERMINOLOGY OF AMYLOIDOSIS.

· `Primary amyloidosis' is now known to be caused by deposition of fibrils composed of the variable portion of the immunoglobulin light chain, and is now termed AL amyloidosis.

· `Secondary amyloidosis' is caused by deposition of the precursor serum amyloid A protein (SAA), and is now termed AA amyloidosis.

----------

Case records of the Massachusetts General Hospital (Case 50-1987).

N Engl J Med 317:1520-1531, 1987.

 

# 3: RESTRICTIVE CARDIOMYOPATHY.

The heart is abnormally stiff.

Diastole is most affected, with reduced filling in the ventricles.

Seen in:

Amyloid involving heart.

Endomyocardial fibrosis.

 

# 4: TYPES OF AMYLOID (as proposed and recommended by notorious "amyloidologists")

· AL amyloid: from light chains (clinical forms; primary '=no evidence of preexisting disease' or multiple myeloma-associated)

· AA amyloid: amyloidosis of chronic infectious/inflammatory diseases (secondary, reactive), derived from putative serum precursor SAA (serum amyloid-associated, 12,000 daltons), an acute phase reactant protein that increases up to 1000-fold in inflammation, synthesized in the liver.

· Amyloid of primary senile cardiac amyloidosis: from prealbumin.

· Amyloid of system senile amyloidosis: from prealbumin.

· AF amyloid (ATTR: amyloid transthyretin) of familial amyloidotic polyneuropathy: formed from a variant (mutant?) of prealbumin. The basis of the mutation is a single amino acid substitution. Note: prealbumin is also known as transthyretin, which binds and transports thyroxine and retinol, hence the name trans-thy-retin)


Back to previous Home Page at AOL (Till October 31 2008)

Back to previous Home Page at geocities.jp web host (Till March 31 2019)

Back to New Home Page (Translocated Sakura server)

-----------
Copyright 1999, Akio Hasegawa
2008/10/06
-----------
Please send your comments to DrHASEGAWA@aol.com